Faccette Dentali a Pesaro: Il Trattamento Estetico Che Rende Unico Il Tuo Sorriso

Il Centro Odontoiatrico Mingione a Pesaro è un punto di riferimento per chi desidera prendersi cura della propria salute dentale e ottenere un sorriso impeccabile grazie a trattamenti estetici avanzati. Le faccette dentali rappresentano una delle soluzioni più richieste per chi desidera migliorare l’aspetto dei propri denti senza ricorrere a interventi invasivi.

In questo articolo, esploreremo in dettaglio le faccette dentali, un trattamento che può trasformare il sorriso di chiunque desideri rimediare a denti rovinati, storti o scoloriti. Grazie all’esperienza del team del Centro Odontoiatrico Mingione, ogni paziente viene seguito in modo personalizzato per raggiungere il risultato desiderato in totale sicurezza e comfort.

Cosa Sono Le Faccette Dentali?

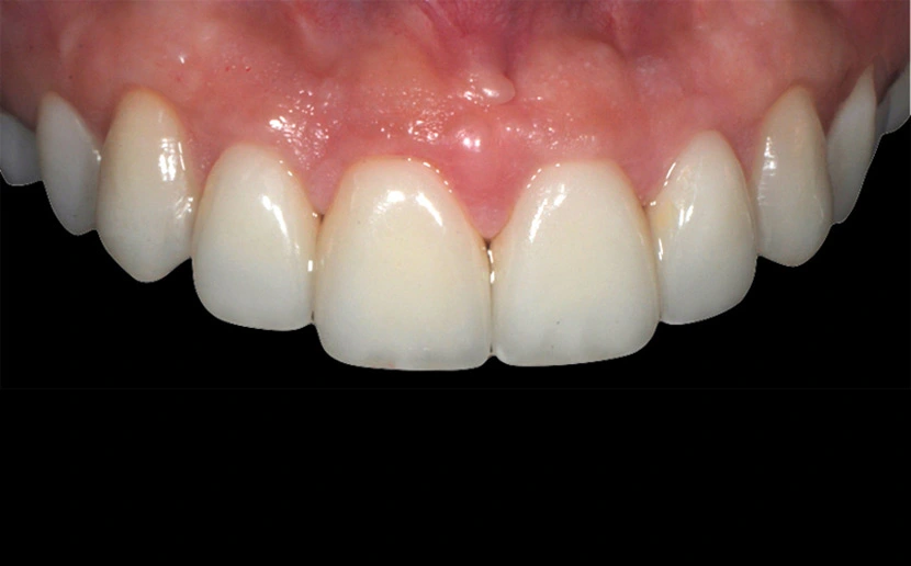
Le faccette dentali sono sottili lamine di materiale composito o ceramico che vengono applicate sulla superficie esterna dei denti per migliorare il loro aspetto estetico. Questo trattamento è ideale per risolvere problemi estetici come denti macchiati, scheggiati, storti o troppo piccoli. Le faccette dentali sono altamente resistenti e offrono risultati naturali, grazie alla loro capacità di adattarsi perfettamente alla forma e al colore dei denti del paziente.

Presso il Centro Odontoiatrico Mingione, le faccette dentali sono realizzate su misura per ogni paziente, utilizzando tecnologie digitali avanzate come scanner intraorali e telecamere per garantire una perfetta precisione.

Perché Scegliere Le Faccette Dentali?

Le faccette dentali offrono numerosi vantaggi rispetto ad altre soluzioni estetiche, come le protesi o i trattamenti sbiancanti. La loro applicazione è rapida e poco invasiva, e non richiede la rimozione significativa del tessuto dentale. Inoltre, le faccette sono altamente resistenti e possono durare molti anni con una corretta manutenzione.

Presso il Centro Odontoiatrico Mingione, ogni trattamento con faccette dentali è eseguito da un team di esperti con un approccio altamente personalizzato, garantendo risultati che si adattano perfettamente alle esigenze estetiche di ogni paziente.

Come Funzionano Le Faccette Dentali?

Il processo di applicazione delle faccette dentali è relativamente semplice e consiste in alcune fasi. Inizialmente, il dentista esamina i denti del paziente e realizza una scansione digitale per creare faccette perfettamente adatte alla forma dei denti. Successivamente, una minima porzione di smalto dentale viene rimossa per garantire che le faccette si adattino perfettamente al dente.

Dopo aver preparato il dente, il dentista applica le faccette utilizzando un adesivo speciale che assicura un’aderenza forte e duratura. Infine, il trattamento viene rifinito con una cura minuziosa per garantire che le faccette siano esteticamente impeccabili.

Quali Sono I Benefici delle Faccette Dentali?

Le faccette dentali offrono numerosi benefici che le rendono una delle soluzioni estetiche più richieste. Tra i principali vantaggi troviamo:

Quando Sono Indicate Le Faccette Dentali?

Le faccette dentali sono particolarmente indicate per pazienti che desiderano migliorare l’aspetto dei propri denti in modo naturale e poco invasivo. Sono perfette per:

Presso il Centro Odontoiatrico Mingione, ogni paziente riceve una consulenza personalizzata per determinare se le faccette sono la soluzione migliore per raggiungere il risultato desiderato.

Il Recupero Dopo l’Applicazione delle Faccette Dentali

Il recupero dopo l’applicazione delle faccette dentali è generalmente rapido e senza complicazioni. Poiché si tratta di un trattamento poco invasivo, la maggior parte dei pazienti può riprendere le normali attività quotidiane immediatamente dopo l’intervento.

Tuttavia, è consigliato evitare di masticare cibi duri nelle prime 24 ore dopo l’applicazione per garantire che l’adesivo si asciughi correttamente. Il team del Centro Odontoiatrico Mingione fornirà tutte le indicazioni necessarie per mantenere le faccette in ottime condizioni e per evitare eventuali danni.

Perché Scegliere il Centro Odontoiatrico Mingione per Le Faccette Dentali a Pesaro?

Il Centro Odontoiatrico Mingione è un punto di riferimento a Pesaro per chi cerca soluzioni odontoiatriche di alta qualità. L’approccio empatico e professionale del team di esperti, che include il Dott. Antonio Mingione, il Dott. Manuel Mingione e altri specialisti, garantisce che ogni trattamento con faccette dentali sia realizzato con la massima precisione e cura.

Lo studio è dotato delle più moderne tecnologie digitali, che permettono di ottenere risultati estetici ottimali in tempi rapidi. Ogni paziente viene seguito in ogni fase del trattamento, con un piano personalizzato che mira a soddisfare pienamente le sue esigenze estetiche e funzionali.

Conclusione sulle Faccette Dentali

Le faccette dentali rappresentano una delle soluzioni più efficaci per migliorare il sorriso e risolvere diversi problemi estetici dei denti. Il Centro Odontoiatrico Mingione a Pesaro è il luogo ideale per chi desidera un trattamento sicuro, personalizzato e altamente professionale.

Exit mobile version